EG-UC5T
超声电子上消化道内窥镜
超声电子上消化道内窥镜
广告
搭载百万级CMOS成像技术
及自主研发凸阵换能器,
可呈现优质的内镜和超声画面
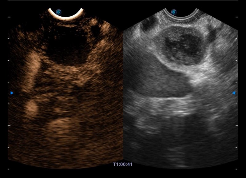
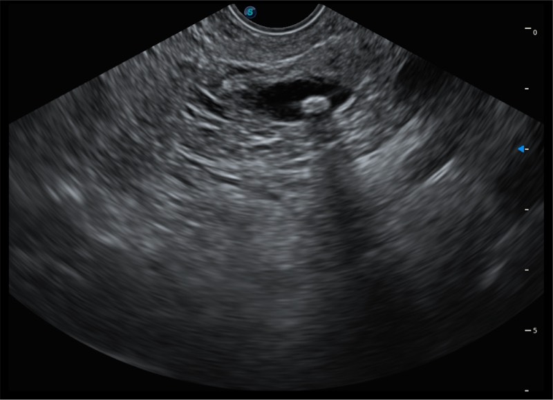
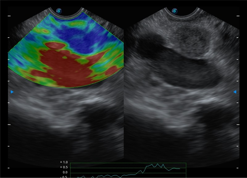
基于二十年的超声技术积累,九州酷游提供了最新一代的独立超声主机,在提供高质量图像的同时满足多学科使用。具备常见多普勒技术并提供弹性成像、声学造影等高端影像技术。新一代传感器具有更强的抗干扰能力并减少图像伪影。
4.0mm大钳道
12.6mm先端部外径
150°超声扫描角度
4-12MHZ宽频输出
内镜先端预设的独特切口,有助于对抬钳器全方位无死角的刷洗,降低交叉污染的风险。
超声电缆线连接口远离手柄,内镜操控更加轻巧灵活
可通过内镜按钮控制内镜及超声画面
禁忌内容或者注意事项详见说明书

微信公众号
0188-22223333
400-800-8820
版权所有 @九州酷游 苏ICP备20008866
互联网电子信息服务资格证书[(苏)-非经营性-2002-0888